130 W 700 S, Suite B Smithfield, Utah 84335
435-563-0140
Book Appointment
Pay Later with Cherry
Menu
About
Meet Dr. Darren Webber
Meet The Team
Office Gallery
Technology
Smile Gallery
Clear Aligner Therapy
Dentures
Cosmetic Dentistry
Veneers
Implant Retained Dentures
Services
Cosmetic Dentistry
Cone Beam 3D X-rays
Dental Crown
Dental Filling
Dental Implants
Dentures
Digital X-rays
Tooth Extraction
Emergency Dentistry
Dental Exam and Cleaning
Laughing Gas Sedation
Root Canal
Online Payment
Patients
Insurance and Financing
New Patient Form
Patient Loyalty Program
Blog
Contact Us
Smile
Gallery
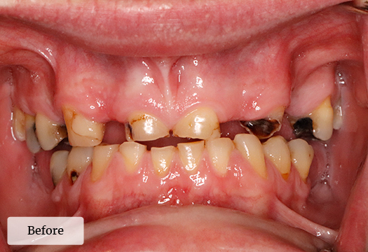
Shane’s Dentures
Daniel’s Dentures
Jeanne’s Dentures
Alisha’s Dentures
Eddie’s Dentures
Close
Font Resize
A-
A+
Reset font size
Keyboard navigation
Readable Font
Contrast
Choose color
White
Black
Underline links
Highlight Links
Reset
Images Greyscale
Invert Colors
Close
Accessibility by WAH
About
Meet Dr. Darren Webber
Meet The Team
Office Gallery
Technology
Smile Gallery
Clear Aligner Therapy
Dentures
Cosmetic Dentistry
Veneers
Implant Retained Dentures
Services
Cosmetic Dentistry
Cone Beam 3D X-rays
Dental Crown
Dental Filling
Dental Implants
Dentures
Digital X-rays
Tooth Extraction
Emergency Dentistry
Dental Exam and Cleaning
Laughing Gas Sedation
Root Canal
Online Payment
Patients
Insurance and Financing
New Patient Form
Patient Loyalty Program
Blog
Contact Us
Click to listen highlighted text!